Um novo caso do nosso autor Dr. Vincenzo Vitale.
Tradução automática
O artigo original está escrito em EN language (link para lê-lo) .
É possível restaurar uma borda incisal com um compósito em massa única?
Até o momento, utilizando um adesivo único, um compósito em massa única e duas borrachas, é possível criar restaurações diretas com alta estética sem passar por camadas articuladas.
O objetivo deste artigo é mostrar como é possível recriar uma morfologia e cor altamente biomiméticas com uma única massa compósita e com um processo adesivo simplificado.
Restauração compósita direta de 2.1
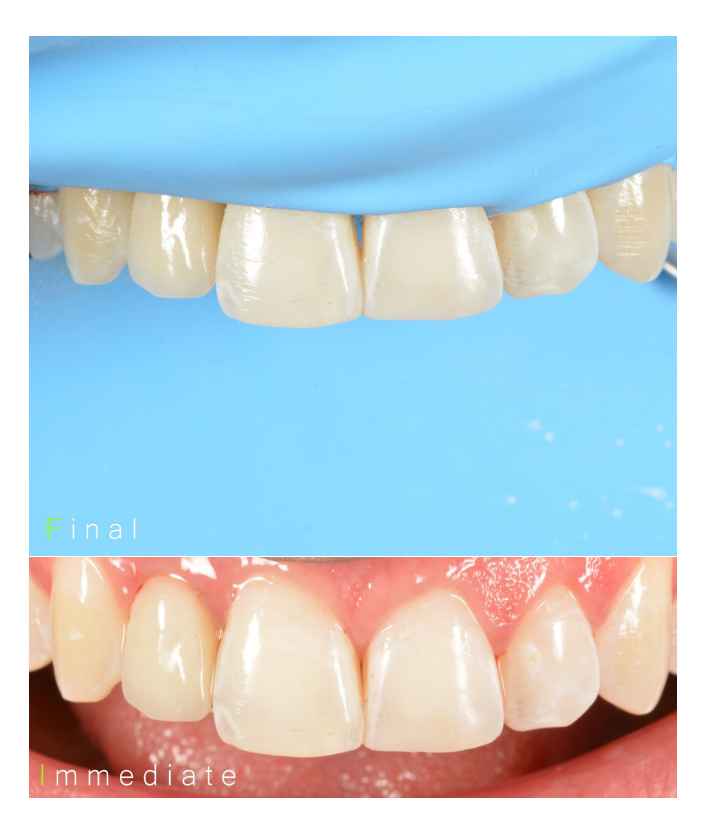
Um paciente de 30 anos apresenta-se para observação clínica com uma borda incisal fraturada de classe II de acordo com Ellis.
O primeiro passo a ser tomado é avaliar a oclusão usando um papel 40u para poder realizar uma análise oclusal e ter uma referência da oclusão a ser replicada e/ou confirmada após a restauração.
Como a lesão é superficial, nenhuma anestesia é realizada.
A isolação do campo operatório é realizada com uma barreira de borracha de espessura média.
Procedemos com o alisamento e a criação de um bisel no esmalte usando uma broca de diamante de grão fino montada em uma turbina.
Isso permitirá uma melhor integração final, disfarçando a transição entre o compósito e o esmalte.
Este último é finalizado e polido com um disco abrasivo montado em um contra-ângulo.
Uma vez concluída a fase de preparação, uma matriz metálica é aplicada para proteger o elemento adjacente e o processo de adesão é realizado.
Começa com o ataque com ácido ortofosfórico a 37% por 15/20 segundos.
Enxágue bem com água pelo mesmo período de tempo.
Assoe com ar por 15/20 segundos e aplique o adesivo universal com um micropincel e um movimento de escovação ativo de cerca de 40 segundos.
O adesivo é soprada com a seringa de ar para esticá-lo e evaporar o solvente.
Em seguida, é fotopolimerizado por 10/15 segundos.
O compósito camaleônico é então aplicado, recriando a mesma morfologia do dente contralateral.
A fase de modelagem é concluída polimerizando por 20 segundos.
Com um disco abrasivo, a modelagem e a junção esmalte-compósito são finalizadas.
A polimento é alcançado com dois polidores usados a 7.500 rpm.
Uma vez que tudo está finalizado, a barreira de borracha é desmontada e a oclusão é verificada primeiro com um papel 40u e depois com um 8u para ter maior precisão durante o exame oclusal.
A simplificação de protocolos e a redução dos tempos operacionais tornam as terapias mais rápidas, permitindo também uma avaliação pós-operatória já previsível. O grau de desidratação, de fato, é mínimo e muito próximo da verificação de 14 dias, onde resulta uma restauração composta perfeitamente integrada.









/public-service/media/default/184/77OOf_65312297d7ef3.jpg)
/public-service/media/default/186/1Vv5n_653122c853165.jpg)
/public-service/media/default/478/KvUj4_671f55677a456.png)